Today was one of those days where I had the entire afternoon free (days like this have become exceedingly rare for the last couple of months). Instead of spending the lovely (and by lovely I mean gray and drizzly) day taking a stroll outdoors or going for a jog like a true Berliner, I stayed home. Specifically, I stayed in bed and dug my claws into something I have been wanting to read for a long time now – Sir Charles Bell’s Idea of A New Anatomy of the Brain. The surgeon, who was educated at the University of Edinburgh, was one of the first people to link the anatomy of the brain and nerves with clinical practice, and describe the relevance of the former in health and disease.
Often referred to as the ‘Magna Carta of Neurology’, the essay is an outstanding description of the human brain. Not only did it challenge the prevailing view of the structure and function of the brain and nerves back then, it did so with sheer poetic elegance. In the essay he hypothesizes how specific stimuli acting on nerves or sensory organs are not what cause us to perceive sensations, but that the brain is the organ responsible for perception. He gives examples to support his argument of everything from phantom limb to ‘seeing colors’ when the eye is hit by a mechanical force. His conclusion that “The operations of the mind are confined not by the limited nature of things created, but by the limited number of our organs of sense.” is considered revolutionary for the time, when people thought of the brain merely as a ‘relay station’ which receives sensation and sends motor commands.
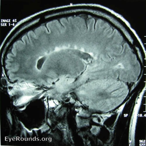
Another interesting theory which he makes based on experimental evidence is that the surface of the brain (the gray matter, which contains cell bodies of neurons) when damaged has far more obvious effects on the afflicted than when the white matter is damaged. We now know that the relative resiliency of white matter fibers causes this (for example, alternative pathways to bypass the damage can be made) – and further proof of this is the fact that demyelinating diseases such as multiple sclerosis are often associated with white matter damage without ‘obvious’ external manifestations.
His statements about the structure of the human body are nothing short of inspirational (particularly to a physician/scientist) – he says (about the eye) “… a system beyond our imperfect comprehension, formed as it should seem at once in wisdom; not pieced together like the work of human ingenuity.” This immediately brought to mind one of my favorite quotes about the brain from Emerson Pugh – “If the human brain were so simple that we could understand it, we would be so simple that we couldn’t.”
Of course, not everything that he postulated in the essay was found to be scientifically accurate. One example is his theory of the origins of the two roots of spinal nerves from the cerebrum and cerebellum separately – although he is the first person to have described the distinction between sensory and motor nerves, and hypothesize that there are corresponding areas inside the brain. It is my opinion that the broad concepts which he puts forward in this essay, not the small details, are what makes it a true gem of scientific literature.
Some entities which are named after him include:
Bell’s palsy – idiopathic unilateral palsy of the facial nerve
Bell’s phenomenon – a clinical sign in which a person affected with Bell’s palsy tries to close his/her (affected) eye and the eye rolls upwards
Bell’s (long thoracic) nerve – supplies serratus anterior, a chest wall muscle
Bell’s law – states that posterior roots of spinal nerves contain sensory fibers and anterior roots contain motor fibers
(on the prevailing theories regarding the brain):
“Thus it is, that he who knows the parts the best, is most in a maze, and he who knows least of anatomy, sees least inconsistency in the commonly received opinion”
Sir Charles Bell

MRI of a patient with multiple sclerosis showing periventricular white matter lesions in the corpus callosum. Despite their size, such lesions are often asymptomatic and may be discovered incidentally.
From: EyeRounds Online Atlas of Ophthalmology, University of Iowa
Note: The above depicted pattern of white matter lesions was first described by another alumnus of the University of Edinburgh – James Walker Dawson (hence the name ‘Dawson’s fingers’).
