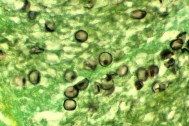
Following up on my last article about eponyms, this time I move to the naming of organisms after their discoverers. For a long time, and to this day, the pathogen Pneumocystis jirovicii, which is a fungus that causes a specific type on pneumonia in immunocompromised people (such as those with HIV), is commonly referred to in the literature and among medical professionals as Pneumocystis carinii. The reason for this is that when it was first discovered, it was found in rats and named after the man who first described it – the Italian bacteriologist Antonio Carini. Later on, it turned out that the organism which causes human infection is different from the one initially described in rats. Not only that, but Carini mistook the parasite for a different form of another parasite, Trypanasoma cruzi (which causes Chagas disease). It was through the efforts of two French researchers that it was recognized as a distinct organism. To make matters even more complicated, P. jirovicii’s namesake, the Czech parasitologist Otto Jírovic, published his findings on the parasite ten years after two Dutch researchers had discovered that same organism! Anyway, the name was officially changed from P. carinii to P. jirovicii over fifteen years ago, yet the former still remains in common usage. There has been some debate regarding this change, with some people arguing that changing the name after such a long time is futile – that people will still use the old – and causes unnecessary confusion. I guess it just goes to show, you can’t teach an old dog new tricks. However, that doesn’t explain why I often use the old nomenclature too. At least I think it doesn’t.
